ACL Injury

What is an ACL Injury?

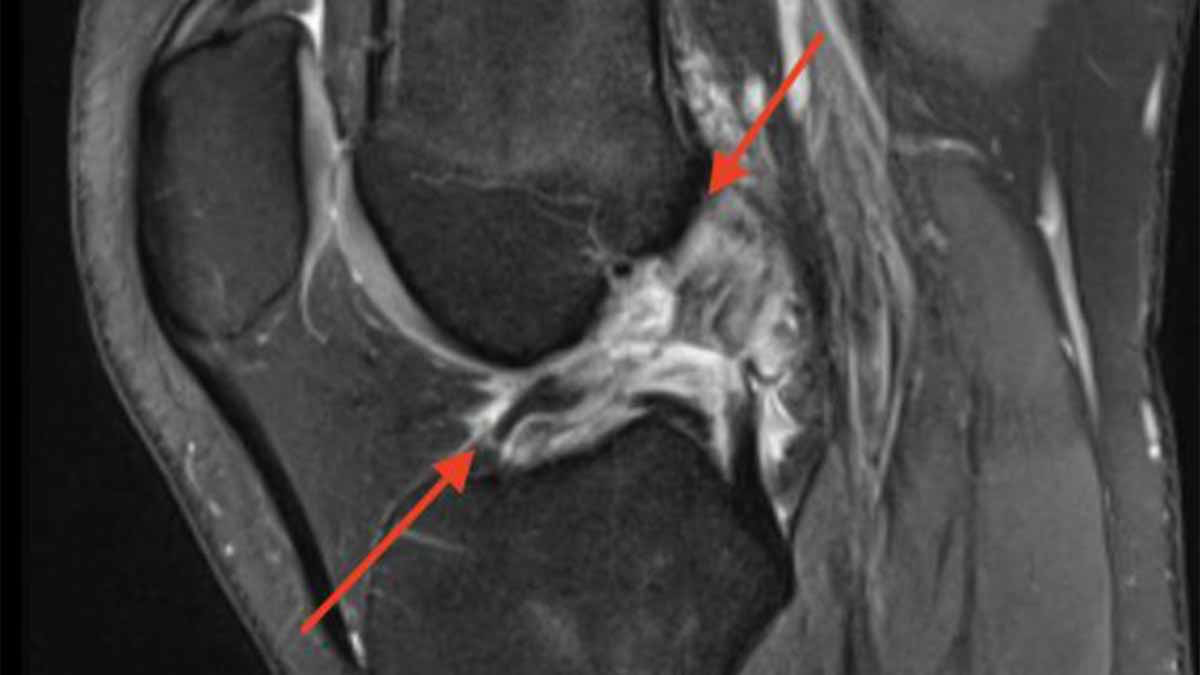
The Anterior Cruciate Ligament (ACL) is one of the most important ligaments of the knee joint. It connects the femur (thigh bone) to the tibia (shin bone) and provides stability during activities like running, pivoting, and sudden direction changes.

ACL injuries commonly occur during:

  • Sports such as football, cricket, basketball, and badminton
  • Sudden twisting or pivoting of the knee
  • Landing awkwardly from a jump
  • Road traffic accidents

A torn ACL can lead to knee instability, pain, swelling, and difficulty in returning to sports.

What is an ACL Injury?
What is an ACL Injury?

Common Symptoms of ACL Tear

  • Sudden "pop" sound in the knee
  • Immediate swelling
  • Instability or giving way of the knee
  • Difficulty walking or running
  • Pain while twisting movements

Diagnosis

Diagnosis is made using:

  • Clinical examination (Lachman test, Pivot shift test)
  • MRI scan to confirm ligament tear
  • X-rays to rule out associated fractures
Diagnosis
Diagnosis

Treatment Options

Non-Surgical Treatment

Suitable for low-demand patients.

  • Rest and ice
  • Physiotherapy
  • Knee bracing
  • Activity modification

Arthroscopic ACL Reconstruction

For active individuals or athletes, ACL reconstruction surgery is usually recommended.

The procedure involves:

  • Minimally invasive arthroscopic surgery
  • Replacing the torn ligament with a graft (hamstring or patellar tendon)
  • Restoring knee stability and function

Benefits include:

  • Small incisions
  • Faster recovery
  • Early rehabilitation
Treatment Options
Treatment Options
Treatment Options

Recovery After ACL Surgery

  • Walking with support within 1–2 weeks
  • Physiotherapy for 3–6 months
  • Return to sports in 6–9 months

When to Consult a Specialist

If you experience:

  • Persistent knee instability
  • Recurrent swelling
  • Difficulty returning to sports

Consult a knee arthroscopy specialist for proper evaluation.

Frequently Asked Questions

Most patients return to daily activities within a few weeks, but full recovery and return to sports typically takes 6 to 9 months with proper physiotherapy.

Partial tears in low-demand patients may improve with physiotherapy and bracing, but complete tears in active individuals usually require surgical reconstruction.

The most common grafts are hamstring tendon or patellar tendon autografts taken from the patient's own body.

Return to sports is generally possible after 6 to 9 months, depending on rehabilitation progress and clearance from your surgeon.

Yes, ACL reconstruction is performed using minimally invasive arthroscopic techniques with small incisions, resulting in less pain and faster recovery.

Need Expert Consultation?

Dr. Sahil Lala provides personalized treatment plans for every patient. Book your appointment today.

Book Appointment WhatsApp Consult

Send Your MRI / X-Ray Report on WhatsApp

Get expert opinion from Dr. Sahil Lala. Click below to share your reports instantly.

Send on WhatsApp